Imaging of Jaw Lesions Related to Multiple Myeloma
- 1. Department of Oral Pathology and Diagnosis, Federal University of Rio de Janeiro, Brazil
- 2. Department of Internal Medicine, Federal University of Rio de Janeiro, Brazil
Abstract
Multiple myeloma is a hematologic malignancy in which the bones are usually affected. The aim of this study is to describe the imaging of jaw bone lesions of patients with multiple myeloma, as reported in the literature. Nearly one third of the patients diagnosed with multiple myeloma present bone lesions in the jaws, and these lesions may assume a variety of radiographic aspects. Lytic lesions named ‘punched-out’ lesions are the most common observed features, and may appear as solitary or multiple lesions. The mandible is usually more affected than the maxilla, and the body, angle and ramus of the mandible are the most affected regions. Orofacial and dental pain, swelling, dental displacement, and root resorption may be present. Screening imaging of jawbones is necessary to detect bone lesions related to multiple myeloma. The extension and relationship of the jaw lesions with the adjacent structures may be evaluated through different imaging tools.
Keywords
• Multiple Myeloma
• Diagnostic Imaging
• Radiography
• Plasmacytoma
• Jaw
Citation
Feitosa Cavalcanti ÉF, Rocha TG, Guedes Visconti MAP, Guedes FR, Pessoa Magalhães JR, et al. (2017) Imaging of Jaw Lesions Related to Multiple Myeloma. J Radiol Radiat Ther 5(2): 1071.
ABBREVIATIONS
HSV-8: Herpes Simplex Virus 8; RANKL: Receptor Activator of Nuclear Factor-Kappa B Ligand; MRI: Magnetic Resonance Imaging; PET: Positron Emission Tomography; CT: Computed Tomography
INTRODUCTION
Multiple myeloma represents nearly 10% of all malignant hematological diseases [1,2]. The condition is characterized by a proliferation of neoplastic plasma cells in the bone marrow [3]. The malignant plasma cells infiltrate the bone marrow micro enviroment to cause bone loss, and are usually characterized as osteolytic lesions in the radiographs [4]. The jaw bones may also be affected with these lesions, and a routine dental radiograph could potentially detect the early bone changes in patients with multiple myeloma.
Multiple myeloma affects more males than females in a proportion 3:1 [5], with age varying from 50 and 80 years old [3]. The etiology of multiple myeloma is not clear, but exposition to ionizing radiation [5], professional exposition to chemical agents [6], benzene exposure [7], and Herpes Simplex Virus 8 (HSV-8) [2] infection have been related. Multiple myeloma is not curable, and the treatment consists primarily of chemotherapy, with or without radiotherapy, and autologous hematopoietic stem cell transplant [2].
The osteolytic bone lesions that occur in multiple myeloma are important events and patients presenting these lesions have a high occurrence of pathologic fractures. These lesions never heal, even if the patient remains in complete remission for many years [4]. The osteolytic lesions can affect multiple bones, including the jaws. There are few published studies on the imaging aspects of the jaw lesions of multiple myeloma. The variety of possible aspects of the disease can lead to difficulty in diagnosing these lesions, especially in relation to the differential diagnosis of the jaws lesions.
The clinical and radiographical descriptions of the oral manifestations of patients with multiple myeloma are not standardized. The majority of the publications on these aspects are case reports [1-3, 8-16].The aim of this review is to describe the imaging aspects of the bone lesions of the jaws of patients with multiple myeloma.
SIDE HEADINGS/SUBHEADINGS
Bone Lesions
The neoplasic plasma B cells in multiple myeloma can stimulate the RANKL protein, which activates the precursors of osteoclastic cells, which in turn cause bone resorption. On the other hand, the same plasma cells inhibit the osteoblasts. Thus, the bone remodeling process is deregulated and more resorption than bone deposition will occur, resulting in osteolytic bone lesions [14]. Persistent bone pain is the most common complaint of patients with multiple myeloma, and the higher risk of pathologic fractures.
It has been reported that 70% of the patients with multiple myeloma present visible radiographically bone lesions, at the time of diagnosis [17]. No part of the body is spared from the disease but the most commons areas affected are the femur, vertebrae column, pelvis, ribs, and skull bones [11,12,14,18]. Conventional radiographic skeletal survey had been the gold standard exam to detect the occurrence of osteolytic lesions in patients affected with multiple myeloma, for many years [17]. The magnetic resonance imaging (MRI) is considered the gold standard for the diagnosis of soft tissue lesions. This imaging exam does not use ionizing radiation and it’s not an invasive procedure, which allows the capture of the multiple image planes with contrast use [19].
It has been published that bone lesions of multiple myeloma are better detected by the positron emission tomography (PET) scan than by MRI [20]. The PET scan indicates areas with altered metabolic activity that clinical exam and other conventional imaging methods are not able to show before anatomic bone changes occur [21]. It can also be used to investigate solitary bone plasmacytoma and extra-medullary plasmacytoma [20]. Although PET scan is least sensitive to diffuse bone marrow infiltration, it has been found to be a good diagnostic tool to anticipate a site of impending fracture throughout the body and to discriminate old from new pathologic fractures. The MRI should, utilized when vertebral bodies are suspected and the risk of vertebral fracture is to be assessed.
Oral features of multiple myeloma
The prevalence oral manifestations of multiple myeloma varies from 14% to 30% [10,22]. The myelomatous lesions can mimic common dental related pathologic conditions [2]. Many unspecific oral manifestations of multiple myeloma may be mistaken by common odontogenic and non-odontogenic bone conditions, which might lead to delay in the diagnosis and treatment of the condition. Clinical signs and symptoms of the disease in the jaws of the patients may comprehend: Orofacial pain, paresthesia, swelling, soft tissue masses, teeth mobility, teeth migration/displacement, root resorption, hemorrhage and pathologic fracture due to cortical destruction of bone [2,10,15].
Imaging features of the jaws
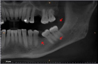
About 30% of the patients with multiple myeloma have bone lesions in the jaws [10]. These lesions are more frequent in the posterior area of the lower jaw, mainly in the ramus, angle, body and coronoid process [2,3,8,11,12]. The upper jaw is rarely affected, and when this happens, it is usually in the tuberosity region [16]. There is no consensus on the main radiographic aspects of bone lesions affecting the jaws of patients with multiple myeloma. Different radiographic aspects have been described, however the most common aspect is the “punched out” lesion (Figure 1), which may be presented as single or multiple osteolytic bone lesions, or even as diffuse and not bounded [12,18].
Figure 1: Cone Beam Computed Tomography, panoramic slice showing multiple uni locular hypondense lesions, with well-defined margins characterized by “punched-out” lesions in the left mandibular angle and ramus.
These lesions appear as a result of focal proliferation of plasma cells in the bone marrow [9,15]. Expansile, well delimited lytic lesions, which can be single or multiple have been described by the International Myeloma Working Group as another common imaging finding [17]. Thus, the three main radiographic bone presentations in multiple myeloma patients are the multilocular “soap-bubble” lesions (Figure 2), the unilocular radiolucency with a cystic appearance, and the ill-defined lesion with destructive bone resorption [3,23,24].
Figure 2: Panoramic radiography showing large radiolucent areas with areas of poorly defined and others with sclerotic margins, characterizing a “soap-bubble” pattern, localized in the right side of the mandibular body.
In some cases, large irregular radiolucent areas, with non-defined borders showing destruction of adjacent cortical bone may be observed [12]. The aspect of a “mouth-eaten” image is common in aggressive lesions, and may also be observed in cases where there is root resorption [11,12,25].
Sclerotic presentations of multiple myeloma are rare, and occur in only 3% of the cases [18,26,27]. Osteosclerotic bone aspect in myelomas has been classified into four subgroups: (a) diffuse; (b) focal osteocondensation; (c) bony spiculation on the surface of the bone; and (d) sclerotic reaction at the rim of the lytic lesion [18].
Epstein et al. [10], described three different aspects of bone alterations detected in panoramic radiographies of patients with multiple myeloma: normal aspects in which the bone resorption is mild or undetectable; multiple radiolucency named “punchedout” lesions (Figure 1); or, generalized bone rarefaction and diffuse osteoporotic alterations.
DISCUSSION & CONCLUSION
The most effective imaging method to evaluate the bone lesions of multiple myeloma patients affected in the area of the jaws has not yet been determined. The most common imaging methods for evaluating bone lesions in the jaws are following described. The periapical radiography is a uni dimensional intraoral exam that uses low ionizing radiation, and allows a detailed evaluation of the structures around the teeth [19]. The periapical radiography can show bone spicules present in the “punched-out” lesions, and a detailed change of the trabecular bone in the area [28,29].
The panoramic radiograph is considered a screening imaging exam in dental practice. It’s easy, fast and with low costs in the diagnosis of pathologic conditions that occur in the jaws, but does not show details in structures. It’s a two-dimensional exam which uses more ionizing radiation than the intraoral radiograph [19]. It provides an evaluation of the lower and upper jaws at the same time as well as others adjacent structures (maxillary sinus, temporomandibular joint) and the relationship of these structures with the teeth. The “punched-out” lesions are considered much more difficult to identify in both panoramic radiography and magnetic resonance imaging [2]. The magnetic resonance imaging in contrast, may expose the tumor expansion throughout the soft tissues [13].
The cone beam computed tomography has been used in the diagnostic of bone lesions in the jaws of multiple myeloma patients [3,13,16,28]. This imaging method allows a threedimensional view of bone lesions details without overlays. The computed tomography (CT) may be useful to show details in the bone lesions of multiple myelomas and also detect the expansion of the lesion, as well as the cortical bone destruction in the hypodense expansive lesions [3,13,16,28].
Sometimes, a variety of different imaging methods may be necessary for the diagnosis and the degree of extension of the lesions. Therefore, every imaging method presents limitations on the detection, evaluation of the extension of the lesions, and the relationship with the adjacent structures.
The differential diagnosis of bone alterations in the jaws associated to multiple myeloma is a challenge partly because of the variability of imaging presentations. The most common differential diagnosis are osteomyelitis, osteoradionecrosis, or osteonenecrosis as consequence of arteriovenous alteration [12]. Whenever the image is associated with teeth, the suspicion of odontogenic cysts and/or tumors needs to be considered [16]. Maxillary sinus carcinoma is suggested when the mass expansion occur in the palatine are a [16]. In the more aggressive and non-delimited lesions with teeth resorption, the diagnosis of osteossarcoma or Edwing sarcoma should be ruled out [14].
Bone lesions of multiple myeloma frequently affect the jaws, and are commonly found specifically in the area of the mandible. The lesions may be single or multiple, and may assume the typical aspect of “punched-out” lesions, or present as extensive lytic lesion. Osteosclerotic aspect may rarely be observed. Screening imaging of jawbones is necessary to detect bone lesionsrelated to multiple myeloma. The extension and the relationship of the jaw lesions with the adjacent structures may be evaluated through different imaging tools.
ACKNOWLEDGEMENTS
Study supported by Foundation for Research Support of the State of Rio de Janeiro (FAPERJ) JCNE E-26/103.046/2012, grants for Dr. Torres.
REFERENCES
- Pinto LSS, Campagnoli EB, Leon JE, Lopes MA, Jorge J. Maxillary lesion presenting as a first sign of multiple myeloma: Case report. Med Oral Patol Oral Cir Bucal. 2007; 12: 344-347.
- Cardoso RC, Gerngross PJ, Hofstede TM, Weber DM, Chambers MS. The multiple oral presentations of multiple myeloma. Support Care Cancer. 2014; 22: 259-267.
- Vieira-Leite-Segundo A, Lima Falcão MF, Correia-Lins Filho R, Marques Soares MS, López López J, Chimenos Küstner E. Multiple myeloma with primary manifestation in the mandible: a case report. Med Oral Patol Oral Cir Bucal. 2008; 13: 232-234.
- Segundo A, Falcao M, Filho R, Soares M, Lopez J, Kustner E. Multiple Myeloma with primary manifestation in the mandible: A case report. Med Oral Patol Oral Cir Bucal. 2008; 13: 232-234.
- Walker RC, Brown TL, Jones-Jackson LB, De Blanche L, Bartel T. Imaging of multiple myeloma and related plasma cell dyscrasias. J Nucl Med. 2012; 53: 1091-1101.
- Lewis EB. Leukemia, Multiple Myeloma, and Aplastic Anemia in American Radiologists. Science. 1963; 142: 1492-1494.
- Demers PA, Vaughan TL, Koepsell TD, Lyon JL, Swanson GM, Greenberg RS, et al. A case-control study of multiple myeloma and occupation. Am J Ind Med. 1993; 23: 629-639.
- Crump KS. Risk of benzene-induced leukemia predicted from the Pliofilm cohort. Environ Health Perspect. 1996; 104: 1437-1441.
- Yoshimura Y, Takada K, Kawai N, Hasegawa K, Ishikawa T. Two cases of plasmacytoma in the oral cavity. Int J Oral Surg. 1976; 5: 82-91.
- Barr GS, Zweig B, Itkin AB. Intraoral corroboration of systemic plasma-cell myeloma. Abbreviated case report. Oral Surg Oral Med Oral Pathol. 1976; 42: 22-25.
- Epstein JB, Voss NJ, Stevenson-Moore P. Maxillofacial manifestations of multiple myeloma. An unusual case and review of the literature. Oral Surg Oral Med Oral Pathol. 1984; 57: 267-271.
- Lee SH, Huang JJ, Pan WL, Chan CP. Gingival mass as the primary manifestation of multiple myeloma: report of two cases. Oral Surg Oral Med Oral Pathol Oral Radiol Endod. 1996; 82: 75-79.
- Mozaffari E, Mupparapu M, Otis L. Undiagnosed multiple myeloma causing extensive dental bleeding: report of a case and review. Oral Surg Oral Med Oral Pathol Oral Radiol Endod. 2002; 94: 448-453.
- Zhao XJ, Sun J, Wang YD, Wang L. Maxillary pain is the first indication of the presence of multiple myeloma: A case report. Mol Clin Oncol. 2014; 2: 59-64.
- Vinayachandran D, Sankarapandian S. Multiple osteolytic lesions. J Clin Imaging Sci. 2013; 3: 6.
- Jain S, Kaur H, Kansal G, Gupta P. Multiple myeloma presenting as gingival hyperplasia. J Indian Soc Periodontol. 2013; 17: 391-393.
- Ramaiah KK, Joshi V, Thayi SR, Sathyanarayana P, Patil P, Ahmed Z. Multiple myeloma presenting with a maxillary lesion as the first sign. Imaging Sci Dent. 2015; 45: 55-60.
- International Myeloma Working Group. Criteria for the classification of monoclonal gammopathies, multiple myeloma and related disorders: a report of the International Myeloma Working Group. Br J Haematol. 2003; 121: 749-757.
- Witt C, Borges A, Klein K, Neumann H. Radiographic manifestations of multiple myeloma in the mandible: a retrospective study of 77 patients. J Oral Maxillofac Surg. 1997; 55: 450-453.
- White S, Pharoah M. Oral Radiology-Principles and Interpretation. 7th Edn. Elsevier Health Sci. 2014: 696.
- Dammacco F, Rubini G, Ferrari C, Vacca A, Racanelli V. ¹?F-FDG PET/CT: a review of diagnostic and prognostic features in multiple myeloma and related disorders. Clin Exp Med. 2015; 15: 1-18.
- Peller PJ. Role of positron emission tomography/computed tomography in bone malignancies. Radiol Clin North Am. 2013; 51: 845-864.
- Neville BW, Damm DD, Allen CM, Bouquot JE. Oral and Maxillofacial Pathology. 2nd Edn. WB Saunders Company. Philadelphia. 2002: 864.
- Lambertenghi-Deliliers G, Bruno E, Cortelezzi A, Fumagalli L, Morosini A. Incidence of jaw lesions in 193 patients with multiple myeloma. Oral Surg Oral Med Oral Pathol. 1988; 65: 533-537.
- Lae ME, Vencio EF, Inwards CY, Unni KK, Nascimento AG. Myeloma of the jaw bones: a clinicopathologic study of 33 cases. Head Neck. 2003; 25: 373-381.
- Anacak Y, Kamer S, Donmez A, Haydaroglu A. Destruction of molar roots by metastasis of multiple myeloma. Br J Oral Maxillofac Surg. 2002; 40: 515.
- Ghosh S, Wadhwa P, Kumar a, Pai KM, Seshadri S, Manohar C. Abnormal radiological features in a multiple myeloma patient: A case report and radiological review of myelomas. Dentomaxillofacial Radiol. 2011; 40: 513-518.
- Li Y, Wu W, Zhang Z, Ding Y, Latif M. Sclerotic multiple myeloma with an unusual sunburst periosteal reaction occuring in the sternum. Skeleta Radiol. 2015; 44: 749-754.
- Baykul T, Aydin U, O Carroll MK. Unusual combination of presenting features in multiple myeloma. Dentomaxillofacial Radiol. 2004; 33: 413-419.

