Adverse Reactions to Metal Debris after Fully-Modular Primary Total Hip Arthroplasty: A Report of Two Cases
- 1. Department of Orthopaedic Surgery, Sumitomo Hospital
- 2. Department of Pathology, Sumitomo Hospital
- 3. Department of Physical Therapy, Osaka Yukioka College of Health Science
Abstract
Adverse reactions to metal debris (ARMDs) are a current concern in total hip arthroplasty (THA). The occurrence of ARMDs is well documented in metal-on-metal (MoM) resurfacing and THA and corrosion at a modular neck-body junction with a metal-on-polyethylene (MoP) bearing THA has recently been reported. However, dualmodular primary THA including modular stem-neck and neck-head junctions is not well documented. We performed 18 MoP THAs with a 40-mm diameter head (2011-2016), and two patients required revision arthroplasty for a symptomatic pseudotumor with corrosion, at the modular head-neck junction in one and at the neck-body junction in the other.
Keywords
Metal debris; Neck-head junctions; Arthroplasty.
Citation
Hira K, Iwasa M, Akiyama K, Shibuya T, Fujita S, et al. (2017) Adverse Reactions to Metal Debris after Fully-Modular Primary Total Hip Arthroplasty: A Report of Two Cases. JSM Bone and Joint Dis 1(1): 1003.
INTRODUCTION
Adverse reactions to metal debris (ARMDs) are a current concern in total hip arthroplasty (THA) [1-4]. They encompass a wide spectrum of pathological conditions associated with metal ion release [5], including fluid collection, aseptic lymphocytic vasculitis-associated lesions (ALVALs), tissue necrosis [6], and pseudotumor formation [7,8]. The occurrence of ARMDs is well documented in metal-on-metal (MoM) resurfacing and THA [1,9,10]. An adverse local tissue reaction (ALTR) can occur in patients with a metal-on-polyethylene (MoP) bearing secondary to corrosion at the modular femoral head-neck junction, and their presentation is similar to the ALTRs seen in patients with a MoM bearing [11,12]. The occurrence of corrosion at a modular neck-body junction with a MoP bearing THA has recently been reported [2,5,11,13]. However, dual-modular primary THA including modular stem-neck and neck-head junctions is not well documented [14-16].
Between 2011 and 2016, we performed 18 MoP THAs with a 40-mm diameter head, and two patients required revision arthroplasty for a symptomatic pseudotumor. The present report describes the clinical presentation, diagnosis, and early results of operative treatment of patients with corrosion, at the modular head-neck junction in Case 1 and at the neck-body junction in Case 2, of MoP THAs. The patients gave their informed consent prior to their inclusion in this study. This study was reviewed by the institutional ethics committee and was therefore performed in accordance with the ethical standards laid down in the latest version of the 1964 Declaration of Helsinki.
CASE REPORTS
Case 1
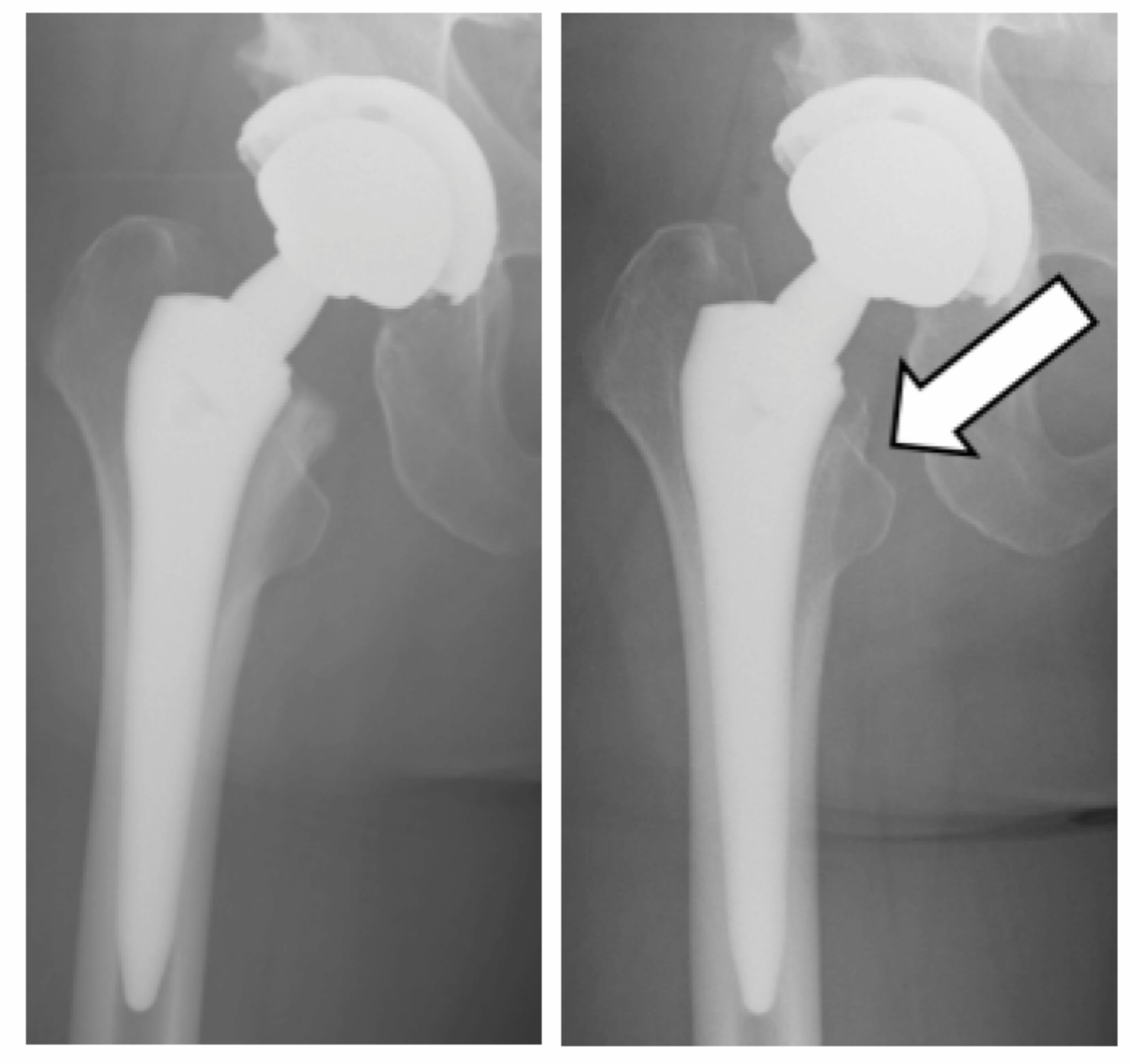
A 49-year-old woman (weight 72 kg, height 156 cm) underwent an uncemented right THA for osteoarthritis of the hip (acetabular implant, 54-mm Trident® acetabular cup (pure titanium) with X3® ultra-high molecular weight cross-linked polyethylene (UHMWXP) insert of 5.8 mm thickness (Stryker Orthopaedics, Mahwah, NJ); femoral implant, Pro femur Z® femoral stem (Ti, 6Al, 4V) with a 4.5° anteverted and 6° varus neck (Ti, 6Al, 4V), and a 40-mm Conserve Plus® short head (CoCr alloy) (Wright Medical Technology; Arlington, TN)) (Figure 1).
Figure 1: Immediate postoperative antero posterior radiograph of the hip at primary THA (A) and 2 years after surgery (B) showing calcar resorption (arrow)
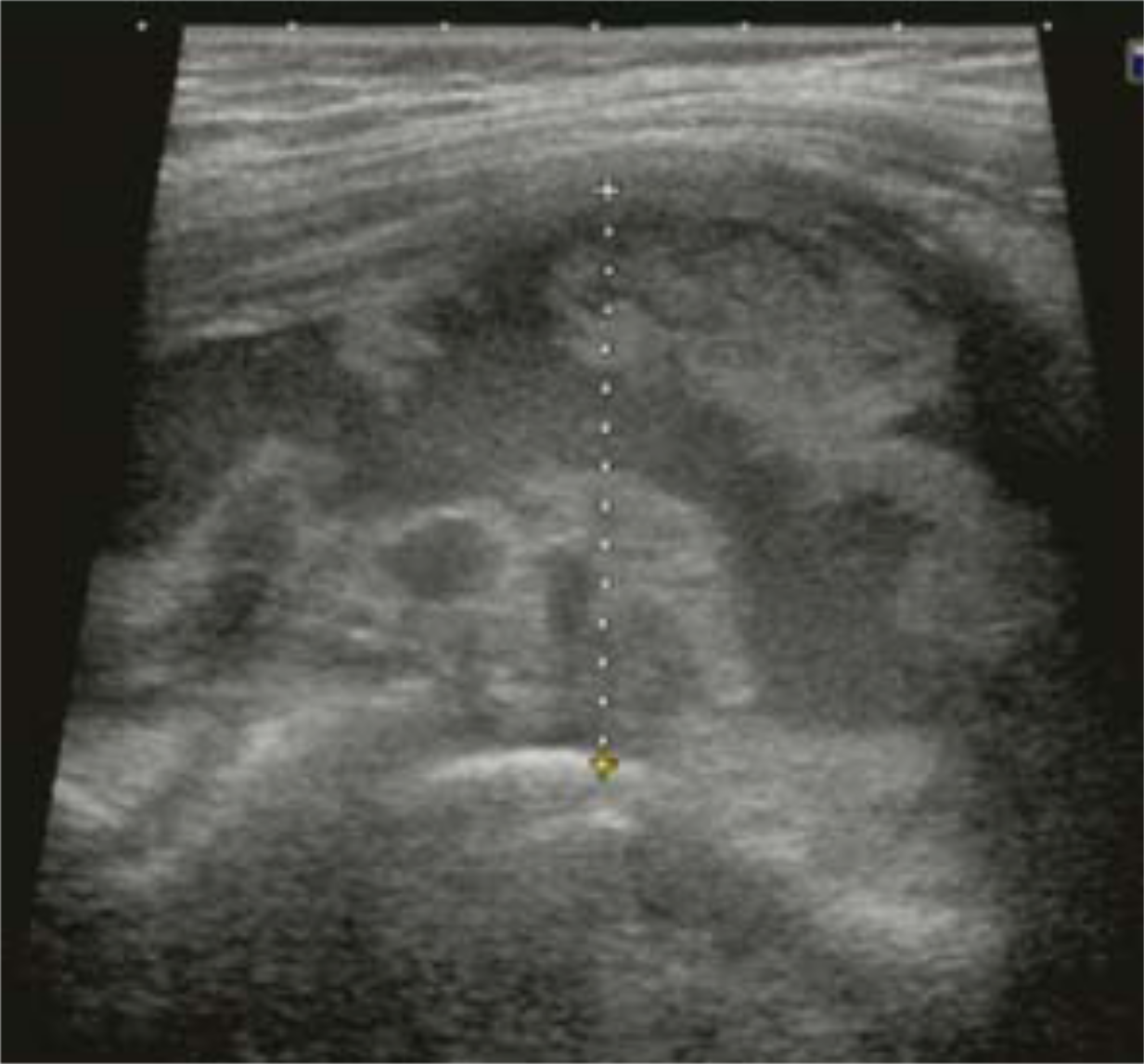
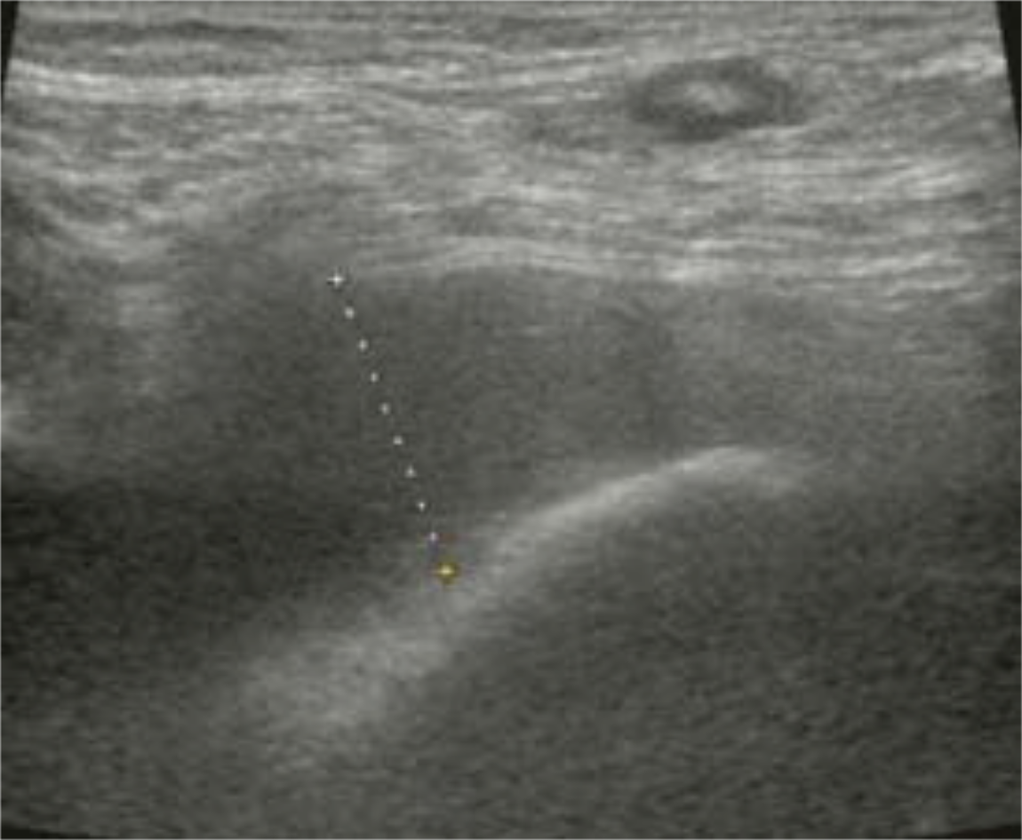
She was reviewed 2 years later and found to have no pain, a normal range of hip motion, and able to fully weight-bear without supporting aids, but she had a clicking and clunking sensation during index hip flexion moment 23 months postoperatively. At the same time, she noticed a soft tissue mass in her right inguinal region. Inflammatory serology was normal. The serum cobalt and chromium ion levels were 2.4 ng/ml and 0.05 ng/ml, respectively. Plain radiographs did not show any impending implant failure, but calcar osteolysis was visible (Figure 1). An ultrasound scan (APLIO XG SSA-790A PLT-805AT, Toshiba Medical Systems Corp., Tokyo, Japan) showed a mixed fluid and solid mass (Figure 2).
Figure 2 :Ultrasound scan, lateral to anterior, of the hip in Case 1, demonstrating a mixed fluid and solid mass.
Magnetic resonance imaging (MRI) (Signa HDxt 1.5T Optima Edition GE Healthcare, Tokyo, Japan) demonstrated a large pseudotumor around the anterior hip joint (Figure 3).
Figure 3: T2-weighted coronal MR image in Case 1 (Arrow: pseudotumor).
Diagnosed as ARMD, she underwent revision surgery. A large amount of abnormal fluid, ranging from milky white to yellow in color (Figure 4), was encountered on incising the tensor iliotibial band through a posterolateral approach.
Figure 4: Dark yellowish turbid fluid in the hip of Case 1 (A). Black deposits containing corrosion products are visible at the head taper (B).
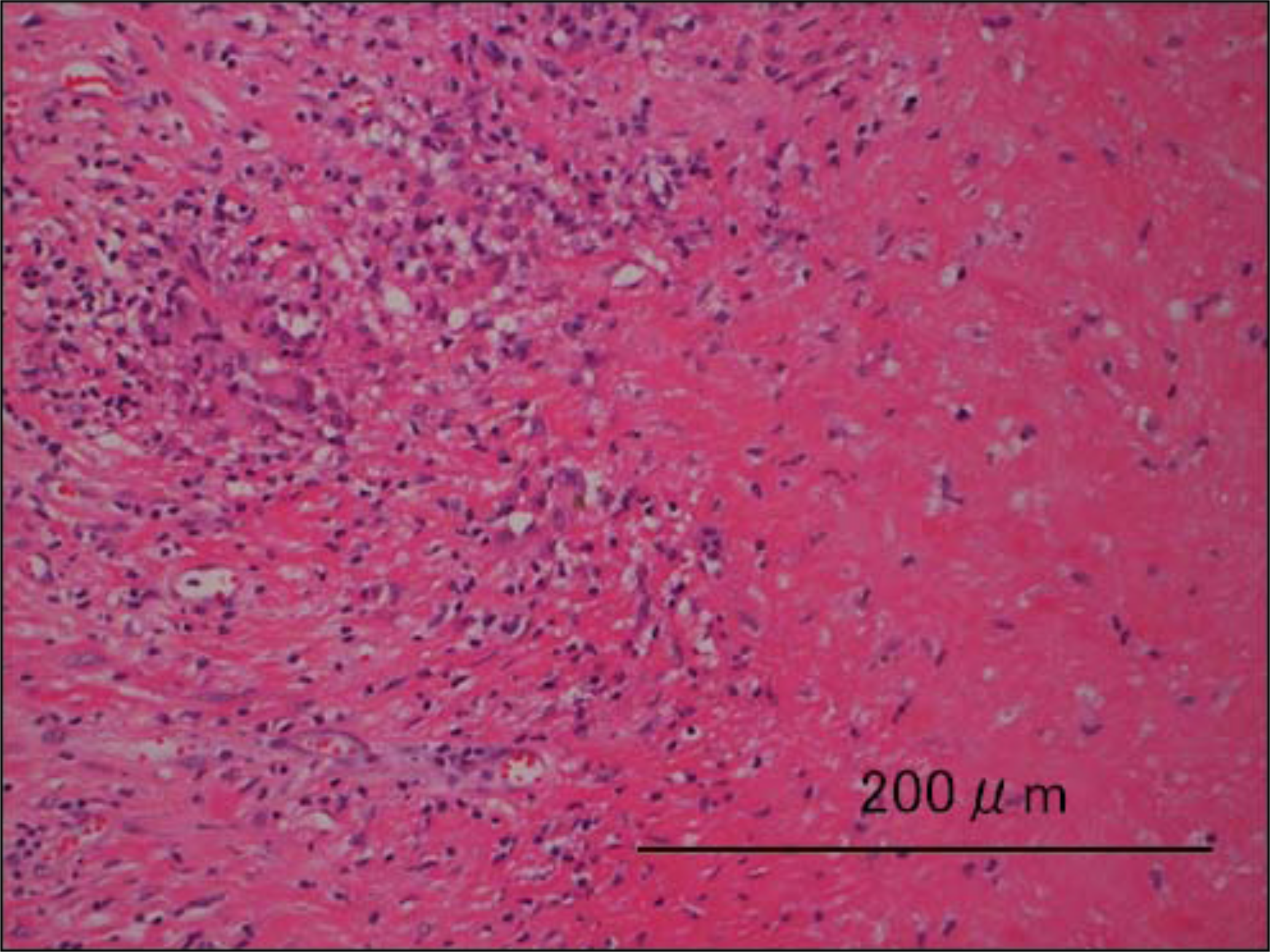
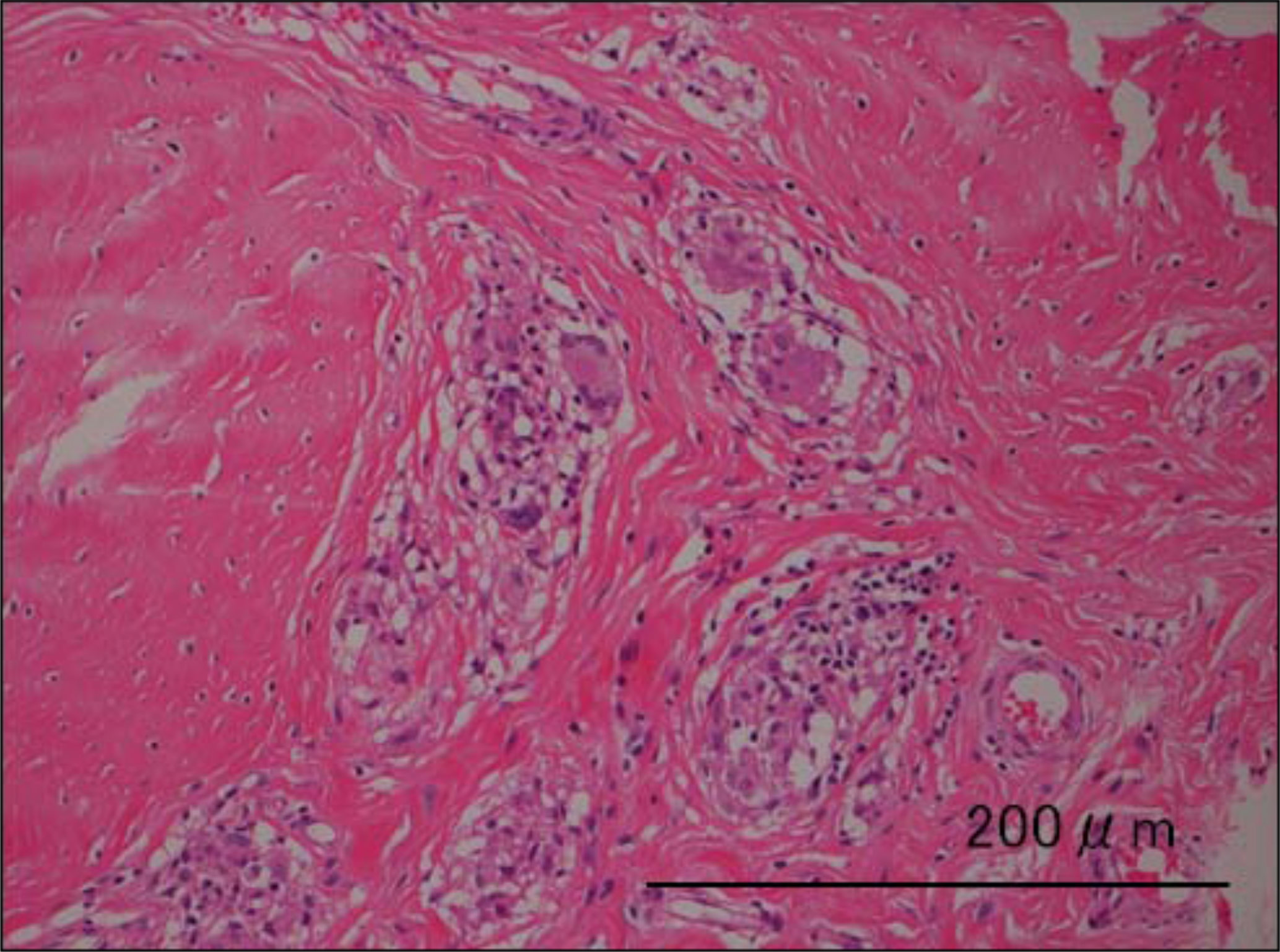
Metal concentrations of the joint fluid were Co 640 ng/ml and Cr 100 ng/ml. Intraoperative cultures were negative. Hypertrophy of the synovial tissue and a huge pseudocapsule were noted and completely resected. The femoral head-neck junction demonstrated obvious corrosion (Figure 4). The modular neck and femoral components were wellfixed. The 40-mm metal head, neck, and stem were replaced with a 32-mm delta ceramic head BIOLOX® (CeramTec AG, Plochingen, Germany) and Profemur R® stem (Ti, 6Al, 4V). Histological examination showed peri vascular lymphocyte infiltration, necrotic tissue, and giant cells (Figure 5).
Figure 5: Pathological specimen in Case 1 (hematoxylin and eosin, ×20). See text.
Case 2
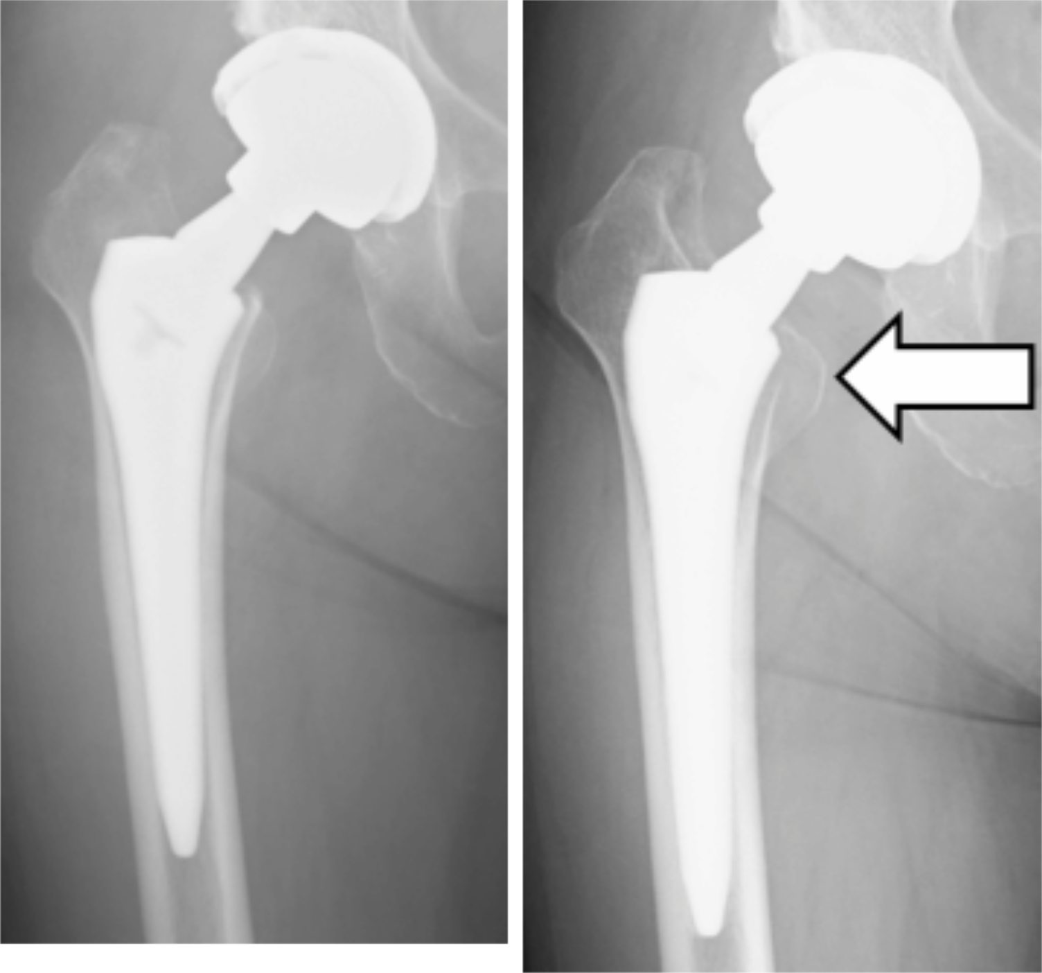
A 69-year-old woman (weight 47 kg, height 144 cm, at initial surgery) underwent a right uncemented THA for osteoarthritis of the hip. The posterolateral surgical approach for THA was. used to implant a 52-mm Trident® acetabular cup with a 3.8-mm thick X3® UHMWXP insert, a Profemur Z® femoral stem with a 4.5° retroverted and 6° varus neck, and a 40-mm Conserve Plus® medium metal head (Figure 6).
Figure 6: Immediate postoperative anteroposterior radiograph of the hip (A), and 3 years after surgery (B) (arrow: osteolysis).
Two months after surgery, she felt discomfort around the right hip joint, but no pain. Although she had a normal range of hip motion, she felt difficulty when she lifted her right leg, and needed a cane to walk. The symptoms continued up to revision surgery. Inflammatory serology was normal. Plain radiographs did not show any impending implant failure, but calcar osteolysis was visible 3 years after implantation (Figure 6). An ultrasound scan showed fluid collection around the hip joint. MRI demonstrated a large pseudotumor around the hip joint (Figure 7). Diagnosed as ARMD, revision surgery was performed.
Figure 7: Ultrasound scan around the hip in Case 2 demonstrating a low echoic mass.
A large amount of yellowish translucent fluid was encountered by section of the iliopsoas tendon through a posterolateral approach. Intraoperative cultures were negative. Hypertrophied synovial tissue and a large pseudo capsule were present in the posterior hip, with proximal femoral cortical thinning. The neck-stem junction, but not the femoral headneck junction, demonstrated obvious corrosion and wear debris (Figure 8).
Figure 8: T2-weighted coronal MR image in Case 2 shows a pseudo tumor (arrow).
The modular neck and femoral components were well-fixed. The implants were replaced with a 36-mm delta ceramic head (BIOLOX®) and Profemur-R® stem with a modular neck. Metal concentrations of the joint fluid were cobalt 3 ng/ml and chromium 32 ng/ml. Pathology was similar to that of Case 1 (Figure 9).
Figure 9 :Corrosion of the neck-body junction (arrow) in Case 2.
DISCUSSION
The head-neck junction and the modular neck-stem junction have been reported to have mechanical and chemical problems [17-19]. In the trunnion, where the neck and head junction tapers, micromotion occurs and body fluids penetrate into this junction, facilitating mechanically assisted crevice and fretting corrosion [18,19]. Micromotion increases corrosion rates, because oxide layers are continually fractured and reformed (repassivation) on the metallic surface [19]. Larger head size causes more fretting and corrosion in the MoP system [3]. Hallab et al. [19], also showed that fretting and voltage change, as well as metal release, were greater in a metal head than in a ceramic head with a CoCr alloy head system. In our system, the titanium neck and Co-Cr alloy head generated galvanic corrosion, which was defined as an electrochemical interaction between dissimilar metals that results in a flow of electrons between them [18]. Early failure has also been reported previously [2,11,13,14]. The present two cases developed corrosion at the modular femoral head-neck junction (Case 1) and neck-stem junction (Case 2) of a dissimilar head-neck system with a MoP bearing [2,16]. A previous study suggested that with a similar metal combination, crevice, stress, and motion had less of an effect [20]. The above-mentioned fretting and galvanic corrosion and the large head size also led to early revision [21]. Recent advancements in polyethylene liner head size in MoP THA [22] are not related to early revision compared to Mo M THA [23]. These fully-modular necks (modular head-neck and neckstem junctions) allows us to more restore patient anatomy, such as limb length, lateral offset, muscle balance, and femoral anteversion to prevent dislocation. However, modularity also increased the number of mechanical junctions that may lead to above mentioned corrosions and then catastrophic fractures [24,25]. Fokter et al., reviewed 13 cases of fully-modular necks[25]. Most patients were heavy weights and high body mass indexes, those of our cases were 72 and 47 kg, 29.6 and 24.6 kg/ m2 , respectively. The lighter body weights may not induce neck fracture.
ARMD was reported in late 2000 in MoM hip resurfacing [1,26]. Pseudotumors were also reported in late 2000 with the same systems [8]. These reactions were investigated as hypersensitivity to metals [6]. Histomorphological study showed an aseptic lymphocytic-dominant vasculitis-associated lesion (ALVAL), as shown in Figure (5) and Figure (10).
Figure 10: Pathological specimen of Case 2 (hematoxylin and eosin, ×20). See text.
To identify these reactions, a specialized metal artifact reduction sequence (MARS) MRI has been recommended [26]. However, our institution was not equipped with this expensive system, and diagnostic ultrasonography was chosen as a screening tool instead [4,27,28]. As shown in Figure (2) and Figure (7), the latter tool was economical and cost-effective compared to MRI [29]. For arthrocentesis, it was easy to demonstrate the area of fluid collection. Finally, ceramic heads were used for revision surgery. This procedure was supported by several reports [19,26,30]. Goyal et al., reported good results of THA with adverse local tissue reactions by a ball (Co-Cr alloy) and liner exchange without stem (Co-Cr alloy) revision [31]. However, we chose ceramic heads for the newly implanted Profemur-R® stems and modular necks.









