Anomalous Insertion of the Anterior Cruciate Ligament on the Lateral Meniscus
- 1. Chicago Orthopedics & sports Medicine, UIC, USA
Abstract
The anterior cruciate ligament (ACL) has been vastly studied during the past decades, and today we are still looking new things about it for its better understanding. In this study we describe a case of an incidental finding of an entire anomalous insertion of the ACL into the lateral meniscus without it being a problem to the patient in terms of instability or pain, the patient had an arthroscopy as part of a MPFL reconstruction. In the current literature there are no known studies of an ACL inserting entirely to the lateral meniscus.
Keywords
ACL , Anomalous insertion , Lateral meniscus
Citation
Iturbide PA, Guelich DR, Elkhoury Z (2015) Anomalous Insertion of the Anterior Cruciate Ligament on the Lateral Meniscus. Ann Sports Med Res 2(7): 1043.
ABBREVIATIONS
ACL: Anterior Cruciate Ligament, MPFL: Medial Patello Femoral Ligament
INTRODUCTION
The anterior cruciate ligament has been the subject of extensive research within the orthopedic literature. This has furthered our understanding of normal ACL anatomy as [1] describe in a recent study of the ACL tibial foot print, which in turn has had significant impact on the treatment of ACL injuries, as evidenced by the myriad techniques currently available for “anatomic” ACL reconstruction.
On the other hand, the amount of scrutiny paid to the anatomy of the ACL has also led to several conflicting results, particularly concerning the ligament’s femoral and tibial insertions and the nature of its mid-substance. In recent cadaveric studies [2] reveal the tibial mid-substance of the ACL to be flat and ribbon like. In addition, they describe two distinct tibial insertions.
The direct, C shaped insertion runs along the medial tibial spine up to the anterior aspect of the anterior root of the lateral meniscus. No posterolateral inserting fibers were identified in this study. The indirect insertion is formed by a broad fanlike extension of fibers that insert onto the anterior rim of the tibia plateau, underneath the transverse meniscal ligament. Together, the direct and indirect insertions form a “duck foot” shaped tibial footprint.
The anterior horn of the lateral meniscus inserts onto the central part of the C and a few of its anterior fibers are often found blending with anterior fascicles of the ACL. This recent anatomic description of the ACL goes against the results of previous anatomic studies that report the tibia insertion to be oval shaped, with distinct insertions for the anteromedial and posterolateral bundles.
In addition to the obvious implications that such studies have on current methods of ACL reconstruction, they also shed light on a range of normal anatomic variants, most interestingly for us, variations in the ACL’s tibial insertion and its relationship to the anterior horn of the lateral meniscus.
In the same study [2] showed the relationship of the anterior horn of the lateral meniscus with the ACL insertions to be variable. The meniscal insertion sometimes runs underneath the ACL insertion, has no blending with its fibers, and is separated from it by a fat pad.
In a related study, [3] describe some normal variants of the ACL tibial insertion; include the J shaped and Cc shaped direct tibial insertions. In this report, we describe an ACL with an anomalous insertion onto the anterior horn of the lateral meniscus, such that both structures appear to be in complete continuity, with neither of them attaching to the underlying tibial plateau. Despite this, the patient had no symptoms of ACL deficiency and the knee was stable enough to perform a physical exam.
CASE PRESENTATION
A 16 year old female presented in October 2014 with the chief complaint of bilateral knee pain, swelling, and patellar instability, worse on the left. Symptoms increased after impact activities. She denied any history of trauma or inciting event. She completed multiple courses of physical therapy focusing on range of motion and quadriceps strengthening exercises.
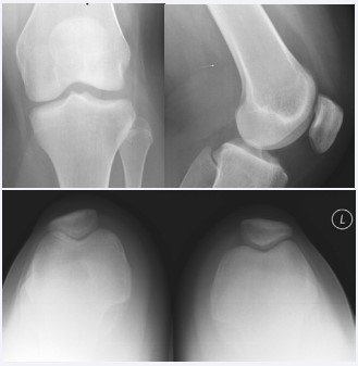
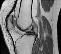
Physical exam of the left knee revealed abnormal 4+ lateral compartment translation with a poor endpoint as opposed to 3+ on the right, with a fixed end point. Anterior drawer, Lachman, and coronal plane stability testing were normal bilaterally. Anteroposterior, lateral and sunrise radiographs of the left knee revealed no abnormalities (Figure 2). MRI of the same knee revealed a Wiberg type II/III patella with normal trochlear depth, TT/TG distance (Figure 3), trochlear inclination, and no trochlear dysplasia or intercondylar notch narrowing. The ACL, PCL and both menisci were normal.
The patient underwent left knee arthroscopy and MPFL plication using two anchors double loaded with high strength orthopaedic sutures. The senior author performed surgery in October of 2014. Intraoperatively, excessive chondromalacia of the medial patellar facet and femoral trochlea was noted, but the ACL, PCL, and menisci were normal. The patient had a smooth postoperative course and progressed rapidly through physical therapy and rehabilitation. Three months later she had a satisfactory result and the decision was made to proceed with a similar procedure for the right knee.
Given the milder symptoms and similar physical findings, no preoperative radiographs or MRI were undertaken to evaluate the right knee. The patient was admitted for surgery on January of 2015 again performed by the senior author, D.G. Preoperative examination under LMA and femoral nerve block revealed a 3+ patellar translation with fixed end point, normal anterior drawer and Lachman tests, and negative pivot shift.
Diagnostic arthroscopy revealed similar chondral softening as was seen in the left knee. Unlike the left, the right knee exhibited mild trochlear dysplasia and an ACL with an anomalous insertion onto the anterior horn of the lateral meniscus (Figure 1, 2).
Examining and probing of this anomalous structure revealed no ACL or meniscal insertions onto the underlying tibia, and a completely mobile anterior horn of the lateral meniscus as it relates to tibial motion. In addition, there was no scarring or fibrosis to suggest a posttraumatic etiology. Nevertheless, she had no evidence of ACL insufficiency or instability, so nothing was done to the anomalous structure. We returned to the patello femoral portion of the procedure that was completed without incident, in a similar manner to the left knee.
DISCUSSION
We are aware of two previous articles in the English literature that describe a similar scenario.
Figure 1: Arthroscopic image of the anomalous insertion of the anterior cruciate ligament on the lateral meniscus.
Figure 2: Anteroposterior, lateral and sunrise radiographs of the left knee revealed no abnormalities.
Figure 3: Sagital image from MRI.
Jason et al. [4] reported the case of a 16-year-old male athlete, with right knee pain and frank instability on physical exam, 8 months following a traumatic event. On arthroscopy the patient was found to have a dysplastic intercondylar notch and an anomalous ACL insertion onto the anterior horn of the lateral meniscus. This anomalous ACL/meniscus structure was described to be avulsed off the footprint, with minimal remaining attachment to the tibia.
A direct repair using sutures passed through drill holes was performed to anatomically reduce and fix the anomalous structure with good results at 12-month follow up. While the authors of the article state that congenital abnormality is the most likely explanation for their findings, they do mention independent traumatic avulsion of the ACL and anterior horn of the lateral meniscus as a possible etiology, with scarring and fibrosis fusing them together in continuity.
In our patient, we found the ACL to be in complete continuity with the anterior horn of the lateral meniscus with no evidence of an anatomic insertion for this combined structure onto the tibia. We also found no evidence of scarring or fibrosis to suggest a posttraumatic etiology.
In another case report, Silva and Sampaio described the case of a 13-year-old female with symptoms of right knee instability occurring during sporting activities. On exam the right knee was found to be unstable with positive Lachman, anterior drawer and pivot shift tests. MRI and diagnostic arthroscopy revealed hypoplasia of the lateral femoral condyle and tibial eminence, a medially tilted joint line, and a discoid lateral meniscus. In addition, they described an absent ACL, replaced by what they named, an aberrant anterior lateral meniscofemoral ligament, attaching the medial border of the lateral meniscus to the intercondylar notch wall of the lateral femoral condyle.
Probing the anterior horn of the discoid lateral meniscus revealed hypermobility and no attachment to the underlying tibia. Based on the absence of the ACL, and a normal PCL, they classified their findings as Manner type I congenital cruciate dysplasia.
On arthroscopy, the right knee of our patient exhibited mild trochlear dysplasia and a laterally directed, Wiberg III patella. The ACL was in complete continuity with the anterior horn of the lateral meniscus, which was not discoid, but was hyper mobile with no tibial insertion. We believe these two cases, and the one we report on, describe the same clinical entity representing one of the mildest forms of congenital ACL dysplasia yet described.
Agenesis of the ACL is a rare congenital disorder often occurring as part of a constellation of musculoskeletal pathology. This includes tibial or fibular dysplasia, limb length discrepancy, patellar hypoplasia and/or subluxation/dislocation, lateral femoral condyle hypoplasia, dysplasia of the femoral intercondylar notch or tibial eminence, and meniscal abnormalities
Attempts to understand the embryological formation of the intraarticular structures of the knee, namely cruciate ligaments, menisci and joint capsule, started in 1887 with Sutton’s theory of drawing extra-articular mesenchyme.
We now know that the ACL and menisci develop from the same mesenchymal blastema. This may explain the fusion of anterior ACL and lateral meniscus fascicles commonly seen in the normal knee. It may also explain the often-shared involvement of these structures in congenital deformities of the knee, as well as the seemingly shared extent of their involvement.
In one of the largest series on congenital ACL aplasia, Thomas et al. [5] describe the clinical and radiologic features of this entity along with the associated congenital abnormalities around the knee. They found patellar dislocation to be the second most common associated clinical finding after lower limb dysplasia. They also found patellar subluxation or dislocation to be the second most common associated radiographic finding after hypoplasia of the lateral femoral condyle.
Our patient had a Wiberg type III patella and a history of chronic patellar instability, in addition to mild femoral trochlear dysplasia both of which are in keeping with the associated abnormalities of ACL dysplasia reported in the literature, as well the findings in the two previous case reports by Silva and Sampaio et al. [6]
In another case series Kaelin et al. [7] reported on six knees with congenital limb length discrepancy and cruciate ligament agenesis. None of the patients complained of knee instability, but all six had a positive anterior drawer with only three having a positive Lachman test. In two patients the ACL was replaced by a synovial band that did not function as a ligament or provide stability.
Our patient was similarly asymptomatic. On arthroscopy, her ACL appeared to be of normal morphology but had an aberrant insertion onto the anterior horn of the lateral meniscus and no attachment to the underlying tibia. Nevertheless it was functional, providing the patient with adequate stability as evidenced by her lack of symptoms and her negative Lachman, anterior drawer, and pivot shift tests.
In the largest published series to date, Manner et al. defined the dysplastic changes that occur in the knee in association with congenital dysplasia of the cruciate ligaments in the setting of congenital femoral deficiency and fibular hemimelia.
They developed a system based on MRI findings to classify cruciate ligament hypoplasia or agenesis and related it to the degree of intercondylar notch dysplasia. Silva and Sampaio classified their findings as Manner type I, which entails agenesis of the ACL and a normal PCL. They describe an anterior lateral meniscofemoral ligament connecting the anterior horn of a discoid lateral meniscus to the intercondylar wall of the lateral femoral condyle and replacing the absent ACL. The aberrant ligament and the attached anterior lateral meniscus had no tibial insertions. This structure did not provide stability to the knee.
Jason et al. [4] report on an ACL with an anomalous insertion onto the anterior horn of the lateral meniscus. They describe avulsion of this structure off the underlying tibia, for which they performed a direct repair to regain knee stability in a young athlete. We believe that our findings coincide with those of the Authors of the two previous reports, all of which describe a subset of ACL dysplasia, or more accurately, ACL tibial insertion dysplasia.
This entity occurs without the presence of limb length discrepancy or fibular hemimelia, the most common associated findings in classic ACL dysplasia, and thus does not fall under the Manner Classification. It appears to be associated with some of the same congenital abnormalities as ACL aplasia, namely, lateral femoral condyle hypoplasia, trochlear hypoplasia, intercondylar notch narrowing, tibial eminence hypoplasia, and patellar abnormalities associated with subluxation or dislocation
Given their common embryological origin, we believe this entity represents a dysgenesis, or failure of segregation, between the ACL tibial insertion and the anterior horn of the lateral meniscus, possibly occurring during their development from the mesenchymal blastema of the interchondral disc.
This developmental abnormality results in continuity between the distal anterior cruciate ligament and the anterior horn of the lateral meniscus forming a single anomalous structure with or without attachment to the underlying tibial plateau.
Patients are asymptomatic initially and capable of participating in sports, but may begin to displaying symptoms of ACL deficiency after a contact injury, or inciting event. Unique to this case is that our findings were incidental, discovered on arthroscopy, in a patient with symptoms of lateral patellar instability not ACL deficiency. In fact the knee was stable to anterior tibial translation, and did not pivot, despite arthroscopy revealing no tibial insertions for the ACL or anterior horn of the lateral meniscus.
This leads us to believe that there exists a spectrum of disease where some knees are stable and exhibit milder associated abnormalities, while others are unstable with more severe abnormalities such as lateral femoral condyle hypoplasia and joint line disturbances. With the absence of symptoms and the possibility of a stable knee, as demonstrated in our patient, this particular type of congenital deformity is likely under-reported in the literature. The 3 cases reported so far probably misrepresent the true prevalence, which may be similar to that of ACL agenesis estimated to be 0.017 per 1000 live births. (Tachijian from Manner)
With the scarcity of reported cases, we believe it premature to discuss treatment options for this congenital deformity. It is currently unknown if surgery to restore normal knee kinematics in symptomatic or unstable knees with this deformity will yield to improved patient outcomes. ACL reconstruction in the setting of lower limb dysplasia is a controversial point. Some authors report good results while others report technical difficulties and high failure rates.
It is our belief that in the absence of symptoms and/or instability this entity is best managed conservatively as in our patient. In conclusion, we report the case of a unilateral congenital anomaly of the ACL, characterized by complete fusion of its tibial insertion with the anterior horn of the lateral meniscus. To our knowledge, this is the third report describing this entity, which we believe to be a form of ACL dysplasia affecting its tibial insertion and the anterior horn of the lateral meniscus.
This is the first report of its kind in which the anomalous structure is found to be functional as a ligament, providing the knee with the required stability. In light of this we believe the true incidence of this entity to be higher than what is currently reported in the literature.
Questions to be answered by future research revolve around the eligibility of such patients to participate in level I sports, the effect of such a congenital abnormality on the development of meniscal tears and degenerative changes in the knee, as well as the possible indications for surgical intervention, and the optimal therapeutic options.


